Seminar Röntgen-Thorax-Diagnostik

leicht gemacht

Dr. med. Konstantin Schraepler, Bremen 09/2019

Klinische Fälle

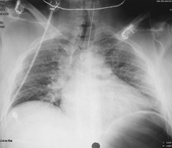
männlich, 33j
  • Polytrauma

Klinik und Röntgenbefund

klinische Parameter und Röntgenbefund müssen nicht synchron verlaufen

  • Entwicklung eines Röntgenbefunds hinkt nicht selten der klinischen Entwicklung hinterher
    • z.B. Phasen der Rekonvaleszenz mit Auflösung eines pneumonischen Infiltrats, Initialphase eines ARDS mit bereits ausgeprägter Hypoxämie
  • bereits radiologisch deutliches interstitielles Lungenödems bei nur diskreten klinischen Zeichen noch sehr diskret sind
  • auch der negative Röntgenbefund liefert wichtige Erkenntnisse

Übersicht

  1. Trachea
  2. Aortenbogen
  3. Truncus pulmonalis
  4. Arterie pulmonalis rechts
  5. Vena azygos Bogen
  6. kleines Interlobarseptum
    • = kleine horizontale Fissur
  7. Aorto-pulmonales Fenster

aus: Furger, Innere Medizin quick, Thieme-Verlag, 2010

Fangbilder

  1. Begleittransparenzminderung 2. Rippe
  2. Begleittransparenzminderung Klavikula
  3. Transparenzminderung M. sternocleidomastoideus
  4. Einbuchtung inferiorer Randes Klavikula
    • Insertion des Ligamentes costoclavicularis
  5. Lobus azygos Linies
  6. Vena azygos Bogen
  7. Weichteile Axilla
  8. Transparenzminderung Mamma
  9. Brustwarze
  10. chondrocostale Verkalkungen
  11. Spickelbildung
    • Verbindung Lig. pulmonale mit Zwerchfell
  12. Fremdkörper Tubus

aus: Furger, Innere Medizin quick, Thieme-Verlag, 2010

der Normalbefund

zu Beginn der Interpretation

  • Patientenname, Aufnahmedatum überprüfen
  • vorhandene Voraufnahmen oder -befunde
  • Überprüfung der technischen Qualität

Klinische Fälle

männlich
  • alkoholisiert auf dem Gehweg aufgefunden
  • somnolent
  • Anamnese kaum zu erheben
Röntgen-Vorbefund:
  • Verkehrsunfall vor 2 J, traumatische Zwerchfellruptur

allgemein

  • Betrachtung von Rö-Bildern am Rö-Bildschirm!
  • um zu weiße oder schwarze Bereiche zu interpretieren, kann es nützlich sein die Bilder aus Entfernung zu betrachten
  • Betrachtung von Rö-Bildern am PC-Bildschirm hängt von dessen Auflösung ab
  • durch Veränderungen des Kontrastes, der Helligkeit, einer Schwarz-Weiß-Invertierung können feine Auffälligkeiten hervorgehoben werden, Schwarz-Weiß-Invertierung
  • für dunkle Umgebung sorgen

Beginn der Interpretation

  • anhand eines Schemas gründliche und vollständige Beurteilung der gesamten Rö-Aufnahme
  • … nicht der Versuchung nachkommen bei der ersten Annomalie die Interpretation zu unterbrechen
  • Zuordnung von Anomalien den dazugehörigen Organstrukturen
  • Brustwand, Pleura, Lunge, Mediastinum
  • Beschreibung der Anomalien
  • darauf achten, dass Aufnahme noch vom Radiologen gesehen wird
  • Rücksprache mit Radiologen hilft eigene Interpretation zu verbessern
  • … nicht die Klinik des Patienten vergessen!
  • möglich und nicht selten, dass kritisch Kranke ein (noch) unauffälliges Rö-Thorax-Bild besitzen

Beurteilung der technischen Qualität

  • Projektion
  • Orientierung
  • Rotation
  • Belichtung
  • Inspirationstiefe

Projektion

  • anteroposteriore (AP) oder posterioranteriore (PA) Aufnahme?
  • Standard: PA-Aufnahme, im Gegensatz zur AP-Aufnahme häufig nicht ausgezeichnet
  • bei der AP-Aufnahme:
    • Schulterblätter projizieren sich auf die Lungenfelder
    • Herz stellt sich in vergrößert dar (Herz liegt im Strahlengang vorn)
    • Silhouette des Mediastinums kann verdreht sein

Projektion

AP- oder PA-Aufnahme?

Projektion

AP- oder PA-Aufnahme?

Orientierung

  • Überprüfung der Links/ Rechts-Markierungen
    • cave Situs inversus
    • häufiger ist jedoch eine Verlagerung des Herz nach rechts zu sehen
    • auch Röntgen-Mitarbeiter sind Menschen und können irren

Rotation

  • medialen Enden der Claviculae sollten im jeweils gleichen Abstand zu dem sich zwischen ihnen projezierenden Spinalfortsatz liegen
  • falls nicht: verdrehte Aufnahme und der vorne liegende Lungenflügel erscheint weißer
  • Skoliose kann rotierte Aufnahme imitieren
  • bei Skoliose befinden sich Spinalfortsätze der Wirbelsäule nicht in einer Linie

Rotation

verdrehte Aufnahme

  • erkennbar an den Claciculae
  • kein Pleuraerguss links

Belichtung

  • Beurteilung der Belichtung im unteren Bereich des Herzschattens
  • Wirbelkörper müssen gerade noch durch den Herzschatten erkennbar sein
    • falls klar abgrenzbar - Aufnahme überbelichtet
    • Läsionen mit geringer Dichte entgehen dem Betrachter
    • falls nicht erkennbar - Aufnahme unterbelichtet
    • Lungenfelder erscheinen fälschlicherweise weiß
  • im Vergleich zu Voraufnahmen ist immer die Belichtung in die Interpretation mit einzubeziehen

Belichtung

Normalbefund?

Belichtung

Normalbefund?

Inspirationstiefe

  • Beurteilung anhand der Anzahl der Rippen oberhalb des Zwerchfells:
    • Kuppel des rechten Zwerchfells zwischen 5. und 7. Rippe
    • vorderes Ende 6. und posteriores Ende 10. Rippe über dem Zwerchfell
  • falls weniger Rippen zur Darstellung kommen hat der Patient nicht tief inspiriert (z.B. durch Schmerz, Erschöpfung, Lungenerkrankung)
  • ungenügende Inspirationstiefe lässt das Herz grösser, die basalen Lungenfelder weißer erscheinen und kann Verziehung der Trachea nach rechts vortäuschen
  • Vergleich mit Voraufnahmen erleichtert die Interpretaion der Inspirationstiefe

Inspirationstiefe

gute Inspirationstiefe geringe Inspirationstiefe

alles anders auf der Intensivstation?

  • es werden AP-Aufnahmen im Liegen verwendet
  • Schulterblätter liegen über dem Thorax, Herz erscheint grösser
  • Aufnahmen beatmeter Patienten meist nicht während tiefer Inspiration
  • Lungenunterfelder erscheinen weisser, das Herz grösser

Schritte der Interpretation

Beurteilung :

  • der Lungenfelder
  • der Hili
  • des Herz
  • des restlichen Mediastinums
  • des Zwerchfells
  • des Zwerchfellrippenwinkels
  • der Trachea
  • des knöchernen Apparates
  • des Bereiches unterhalb des Rippenfels

Schritte der Interpretation

Beurteilung der Lungenfelder

  • gleiche Größe der Lungenfelder
  • gleiche Transparenz beider Lungenfelder
  • keines weißer oder dunkler als das andere
  • Identifikation und Überprüfung der horizontalen Fissur mit Verlauf vom Hilus bis zur 6. Rippe in der Axillarlinie
  • wenn verschoben mögliches Zeichen einer Atelektase
  • Beachtung von diskreten oder generalisierten Verschattungen

Beurteilung der Lungenfelder

horizontale Fissur

  • Verlauf vom Hilus bis zur 6. Rippe in der Axillarlinie
  • wenn verschoben mögliches Zeichen einer Atelektase

Beurteilung der Lungenfelder

  • um Läsionen der Lungen genau zu lokalisieren wird neben der PA-Aufnahme eine Seitaufnahme benötigt
  • die Position der Läsionen kann in Zonen beschrieben werden: Ober-, Mittel-, Unterfeld
    • Oberfeld: über dem rechten vorderen Rand 2. Rippe liegt
    • Mittelfeld: zwischen rechten vorderen Rand 2. und 4. Rippe
    • Unterfeld: zwischen rechten vorderen Rand 4. Rippe und Zwerchfell
  • aber rein deskriptiv, kein Bezug zur anatomischen Lage der Lappen

Beurteilung der Lungenfelder

Normalbefund

Beurteilung der Pleura

Normalbefund

Beurteilung der Lungenfelder

das Silhouetten-Zeichen

  • wenn die Läsion neben einer dichten (= weißen) Struktur liegt, geht die Grenze zu dieser verloren
    • Lage im rechten Mittellappen wenn die Läsion Teile der Herzengrenze verdeckt
    • Lage im rechten Unterlappen wenn die Läsion Teile des Zwerchfells verdeckt

Beurteilung der Pleura

rechter Oberlappen
Segmente: 1,2,3

rechter Mittellappen
Segmente : 4,5

rechter Unterlappen
Segmente: 6,7,8,9

linker Oberlappen
Segmente: 1,2,3

Lingula
Segmente : 4,5

linker Unterlappen
Segmente: 6,7,8,9,10

Beurteilung der Lungenfelder

männlich
  • i.v.-Drogenabusus
  • hohes Fieber
Röntgenbefund:
  • Mittelfelder asymmetrisch, kleine unregelmäßige Verdichtung rechts
  • Verdichtung besitzt minder dichten Bereich (Hohlraum)
  • andere Bereiche der Lunge normal
Diagnose:
  • septische Embolie
  • DD: Lungenabszess (Tbc, Klebsiellen, Staph. aureus), Lungenkarzinom, Pilzpneumonie, Granulomatose mit Polyangiitis

Beurteilung der Lungenfelder

männlich
  • Atemnot
  • Gewichtsverlust
  • klinischer Verdacht auf maligne Grunderkrankung
Röntgenbefund:
  • symmetrische Verteilung
  • abnormale Lungenfelder beidseits
  • Lungenknoten beidseits
  • vermehrt in den basalen Lungenabschnitten
Diagnose:
  • multiple Lungenmetastasen

Beurteilung der Lungenfelder

männlich
  • langjähriger Tabakmißbrauch
  • progrediente Luftnot
Röntgenbefund:
  • asymmetrische untere Felder
  • links dunkler als rechts
  • überblähte Lunge
Diagnose:
  • chronisch obstruktive Lungenerkrankung
  • großen Bulla links basal

Beurteilung der Lungenfelder

männlich
  • asthenischer Körperbau
  • Fall aus großer Höhe
  • Thoraxtrauma
Röntgenbefund:
  • Lungenmarkierungen nicht über die eingezeichnete Linie hinaus sichtbar
  • ältere Rippenfraktur mit Kallus (Pfeil)
Diagnose:
  • Pneumothorax links

Beurteilung der Lungenfelder

männlich
  • anamnestisch Asbestexposition
Röntgenbefund:
  • Transparenzminderung der gesamten rechten Lunge
  • Verlust an Lungenvolumen rechts
  • einseitige Pleuraverdickung
Diagnose:
  • Pleuramesotheliom
  • DD: Empyem, Pleurakarzinose, Pleuraerguss
  • verursachen jedoch kein Verlust an Lungenvolumen

Beurteilung der Lungenfelder

männlich
  • chronische leichte Dyspnoe
  • berentet, ehemals Hafenarbeiter fraglicher Asbestexposition
Röntgenbefund:
  • beidseitige gut abgrenzbare unregelmäßige, knochendichte Verdichtungen
  • periphere Pleuraverdickung
Diagnose:
  • verkalkte Asbest-Pleuraplaques beidseits

Beurteilung der Lungenfelder

männlich
  • langjähriger Raucher
  • zunehmende Dyspnoe
  • Gewichtsverlust
Röntgenbefund:
  • linkes unteres Lungenfeld gleichmäßig weiß
  • mit apikal konkavem Linienverlauf = Meniskus Zeichen
  • linke Herzgrenze, Zwerchfellrippenwinkel und Zwerchfell sind überlagert
  • leichte Abrundung des rechten Zwerchfellrippenwinkel
Diagnose:
  • großer Pleuraerguss links
  • kleiner Pleuraerguß rechts
  • Grunderkrankung Bronchialkarzinom

der Pleuraerguß

Ergussnachweis ab 150ml im Stehthorax und
ab 500ml im Liegethorax

Beurteilung der Lungenfelder

männlich
  • langjähriger Tabakmißbrauch
  • chronisch obstruktive Lungenerkrankung (COPD)
  • produktiver Husten
  • Leukozytose im Blutbild
Röntgenbefund:
  • Konsolidierung des Lungenunterfeldes beidseits
  • schlecht abgrenzbare linke Herzgrenze
  • Hinweis auf Lingula-Beteiligung
  • schlecht abgrenzbares linkes Zwerchfell
  • Hinweis auf Unterlappen-Beteiligung
Diagnose:
  • infektexazerbierte COPD bei
  • Pneumonie

Beurteilung der Lungenfelder

männlich
  • Raucher
  • progrediente Dyspnoe
  • Husten
Röntgenbefund:
  • horizontale Fissur nach oben verschoben
  • dichte Verschattung des rechten Oberfeldes
  • Vergrößerung des rechten Hilus
Diagnose:
  • Atelektase des rechten Lungenoberlappens
  • ursächlich Bronchialkarzinom mit Obstruktion des rechten Oberlappenbronchus

Beurteilung der Lungenfelder

männlich
  • langjähriger Raucher
  • Husten
Röntgenbefund:
  • große, runde, dickwandige Höhle linkes Mittelfeld
  • Höhle nahe dem linken Hilus
Diagnose:
  • Kavität der linken Lunge
  • (hier: Bronchialkarzinom)

Beurteilung der Lungenfelder

männlich, 37j
  • plötzlich schwerste Dyspnoe
  • Cholezystektomie 5 Tage zuvor
Röntgenbefund:
  • „schwarze“ Lunge links
  • Hilus links nicht abgrenzbar
Diagnose:
  • fulminante Lungenembolie

Beurteilung der Lungenfelder

männlich
  • hohes Fieber
  • Nachtschweissigkeit
  • Dyspnoe
Röntgenbefund:
  • unterhalb der Fissura obliqua scharf abgrenzbare Dichteminderug des Lungenunterfeldes rechts
  • verdeckter rechter Herzschatten
Diagnose:
  • Mittellappenpneumonie rechts

Herzinsuffizienz

pleuro-pulmonale Entwicklung der Herzinsuffizienz relativ stereotyp

4 Stadien:

  1. vaskuläres Stadium der Rekrutierung
  2. vaskuläres Stadium mit Umverteilung
  3. interstitielles Stadium (= interstitielles Ödem)
  4. alveoläres Stadium (= alveoläres Ödem)

Herzinsuffizienz

Stadium I: vaskuläres Stadium der Rekrutierung

  • bei PCWP von 10-15 mmHg (normal 5-12 mmHg)
  • pulmonale Hypertonie manifestiert sich durch eine Rekrutierung der lobären, superioren Gefässe
  • Durchmesser der basalen Pulmonalvenen entsprechen denjenigen der homologen, apikalen Venen (= unspezifisches, hyperdynamisches Zeichen, DD: Schwangerschaft, körperliche Anstrengung, Anämie, Hyperthyreose)

Stadium II: vaskuläres Stadium mit Umverteilung

  • bei PCWP von 15-20 mmHg
  • Beginn des interstitiellen Ödems
  • Durchmesser der basalen Pulmonalvenen sind kleiner als diejenigen der homologen, apikalen Venen

Herzinsuffizienz

Stadium III: interstitielles Stadium = interstitielles Ödem

  • bei PCWP von 20-30 mmHg
  • peribroncho-vaskuläre Unschärfe mit Verdickung der Bronchialwände
  • KERLEY-Linien A und B (verdickte Interlobularsepta)

Stadium IV: Alveoläres Stadium = alveoläres Ödem

  • bei bei PCWP von > 30 mmHg
  • häufig in Form eines akuten Lungenödems
  • bilaterale (aber auch unilateral möglich), unscharf begrenzte, alveoläre Transparenzminderung
  • Verteilung lageabhängig: im Stehen basal, im Liegen posterior betont

Kerley B-lines

Beurteilung der Hili

  • der linke Hilus steht höher als der rechte (Differenz <2,5 cm)
  • Beurteilung der Form und Dichte der Hili: in Form konkav und einander ähnlich

Beurteilung der Hili

Normalbefund

Beurteilung der Hili

männlich
  • Fieber
  • Nachtschweissigkeit
  • Gelenkbeschwerden
Röntgenbefund:
  • geringe Rotation des Bildes
  • bilaterale, symmetrische Hilusvergrößerung
  • leichte beidseitige Lungenparenchymverschattung
Diagnose:
  • Sarkoidose
  • DD: Infektion, Lymphom, pulmonalarterielle Hypertension

Beurteilung der Hili

weiblich
  • Mammakarzinom
  • progrediente Luftnot
Röntgenbefund:
  • beide Hili sind dichter und größer
  • der rechte Hilus ist größer als der linke
  • multiple kleine Fleckschatten
Diagnose:
  • Metastasen

Beurteilung der Hili

männlich
  • Z.n. Radiatio bei mediastinalem Tumor
Röntgenbefund:
  • linker Hilus groß, dicht, nach seitlich oben links verzogen
  • Trachea nach links verzogen
Diagnose:
  • Strahlungsfibrose

Beurteilung des Herzens

  • Überprüfung der Herzform
  • maximaler Herz-Durchmesser geringer als Hälfte des transthorakalen Durchmessers an der breitesten Stelle der Brust
  • Aufmerksamkeit ggü. ungewöhnlich dichten Bereiche des Herzschattens

Beurteilung des Herzens

Beurteilung des Herzens

Herzgröße
  • maximaler Herz-Durchmesser ≤Hälfte maximaler transthorakaler Durchmesser

Beurteilung des Herzens

männlich
  • akute Dyspnoe
  • Vorhofflimmern mit schneller Überleitung
  • Abnahme der Belastungsfähigkeit
  • chronisch unkontrollierte arterielle Hypertonie
Röntgenbefund:
  • Kardiomegalie
  • Herz-Thorax-Relation = 18/30 cm
  • Erweitertung der Gefäße im Oberfeld = pulmonalvenöse Stauung (1)
  • bilateral erhöhte Lungenzeichnung (klassisch: perihilär, an Fledermausflügel erinnernd) = Lungenödem (2)
  • Kerley B-Lines
  • Pleuraergüsse
Diagnose:
  • Linksherzinsuffizienz mit Lungenödem

Beurteilung des Herzens

weiblich
  • anamnestisch rheumatisches Fieber
  • Aorten-und Mitral-Klappenersatz
Röntgenbefund:
  • Sternotomie Drähte
  • Aorten-und Mitral-Herzklappenersatz
  • nach rechts verschobene rechte Herzkontur durch vergrößerten rechten Vorhof
  • leichte Wölbung linker Herzrands * durch Vergrößerung des linken Herzohrs
  • Aufweitung der Carina >90° durch Vergrößerung des linken Vorhofs
Diagnose:
  • Kardiomegalie mit Linksherzvergrößerung durch chronische kombiniertes Mitralklappenvitium

Beurteilung des Herzens

männlich
  • koronare Herzkrankheit
  • Z.n. Myokardinfarkt
Röntgenbefund:
  • AP-Aufnahme
  • Herz deutlich trotz AP-Aufnahme vergrößert
  • Ausbauchung der linken Herzkontur
  • kreisförmige Verkalkung
Diagnose:
  • linksventrikuläres Herzwandaneurysma

Beurteilung des Mediastinums

  • Beachtung der Weite des Mediastinums
  • der Rand des Mediastinum sollte sich klar abzeichnen, einige Unschärfen im Winkel zwischen Herz und Zwerchfell sind akzeptabel
  • Unschärfe weist auf eine Erkrankung der Lunge (Kollaps, Konsolidierung)
  • rechte Trachealkontur sollte <3 mm breit sein
  1. rechte Paratracheallinie
  2. rechter Trachealrand <3 mm
  3. rechte obere paravenöse Linie
  4. Truncus brachiocephalicus
  5. rechte/linke Paravertebrallinie
  6. Azygos-Ösophageallinie
  7. linke para-arteria-subclavia Linie
  8. hintere Mediastinallinie
  9. bzw. hintere Pleuragrenzlinie
  10. vordere Mediastinallinie
  11. bzw. vordere Pleuragrenzlinie hinter Sternum
  12. Paraaortallinie
  13. Aorta descendens

Übersicht

aus: Furger, Innere Medizin quick, Thieme-Verlag, 2010

Beurteilung des Mediastinums

Aortenknauf
  • linken Seitenbegrenzung der Aorta
  • Fortsetzung Kontur der absteigenden Aorta
  • Verdrängung/ Aufhebung durch z.B. Aneurysma oder benachbarte Lungenkonsolidierung

Beurteilung des Mediastinums

aortopulmonales Fenster
  • Lage zwischen dem Bogen der Aorta und der Lungenarterie
  • Erkennung pathologischer Lymphknotenvergrößerungen

Beurteilung des Mediastinums

rechte Trachealkontur
  • rechte, weiße Rand der Trachea <3 mm breit
  • Verdickung als paratracheale Masse oder Lymphknotenvergrößerung zu bewerten

Beurteilung des Mediastinums

männlich
  • Nachtschweißigkeit
  • Gewichtsverlust
  • tastbare, vergrößerte Halslymphknoten
Röntgenbefund:
  • erweitertes oberes Mediastinum
  • schlecht abgrenzbarer Aortenknauf, durch angrenzende Pathologie
  • breiter rechter paratrachealer Streifen
  • unauffällige Lunge
Diagnose:
  • mediastinales Hodgkin Lymphom

Beurteilung des Mediastinums

weiblich
  • unkontrollierte arterielle Hypertonie
  • Episode schwerer Brustschmerzen mit Ausstrahlung in den Nacken und Rücken
Röntgenbefund:
  • Sternalcerclagen
  • Aortenklappenprothese
  • massiv aufgeweiteter Aortenknauf
  • verdrängte Trachea
  • verbreiterte, gewunden verlaufende Aorta descendens
Diagnose:
  • chronisch dissezierendes thorakales Aorta descendens-Aneurysma

Beurteilung des Zwerchfells

  • das rechte Zwerchfell steht höher (<3 cm) als das linke
  • Umriß des Zwerchfell sollte glatt und gut abgrenzbar sein
  • höchste Punkt des rechten Zwerchfell liegt in der Mitte und der des linken etwas mehr lateraler

Beurteilung des Zwerchfells

Normalbefund

Beurteilung des Zwerchfells

männlich
  • akute, starke abdominelle Schmerzen
  • Abwehrspannung der Bauchdecken
  • Tabak- und Alkoholmißbrauch
  • Einnahme von nicht-steroidalen Antiphlogistika
Röntgenbefund:
  • hier: Untersuchung im Stehen
  • Lungen unauffällig
  • Zwerchfelle als auf beiden Seiten scharf abgrenzbare Linie
  • darunter Luft als sichelförmige Bezirke mit relativ niedriger Dichte (schwarz)
  • Luft zeigt sich auf beiden Seiten der Darmwand (= Rigler-Zeichen)
Diagnose:
  • Pneumoperitoneum
  • hier: perforiertes Ulcus duodeni

Beurteilung des Zwerchfells

männlich
  • Husten
  • hochfebrile Temperaturen
  • erhöhte Entzündungsparameter
Röntgenbefund:
  • Konsolidierung des linken Lungenunterlappens
  • linkes Zwerchfell verdeckt
Diagnose:
  • Pneumoperitoneum
  • Pneumonie linker Unterlappen

Zwerchfellrippenwinkel

  • sie sollten gut definierte sein, klar abgrenzbaren spitzen Winkeln entsprechen

Zwerchfellrippenwinkel

Zwerchfellrippenwinkel

weiblich
  • langjährige Raucherin
  • chronische Dyspnoe mit jüngster Progredienz
Röntgenbefund:
  • rechter Zwechfellrippenwinkel abgerundet
  • linke Lunge und Zwechfellrippen- winkel unauffällig
  • Volumenverlust der rechten Thoraxhälfte mit entsprechender Verschiebung des Mediastinums und der Trachea
Diagnose:
  • Bronchialkarzinom mit Obstruktion der zentralen Atemwege

Zwerchfellrippenwinkel

weiblich
  • gelegentliche/ passive Raucherin
  • chronische Lebererkrankung
Röntgenbefund:
  • Überblähung der Lunge
  • Zwechfellrippenwinkel aufgrund dessen beidseits abgerundet
  • Zwerchfelle beidseits abgeflacht
Diagnose:
  • chronisch obstruktive Lungenerkrankung

Beurteilung der Trachea

  • sie sollte zentral liegen aber geringfügig nach rechts um den Aortenbogen abweichen
  • bei Abweichung der Trachea besteht eine Pathologie des Mediastinums oder der Lunge

Beurteilung der Trachea

Normalbefund

Beurteilung der Trachea

weiblich
  • koronare Herzerkrankung
  • Z.n. ACVB-Operation
Röntgenbefund:
  • Aufnahme nicht verdreht
  • Dornfortsätze liegen zentral zwischen den medialen Schlüsselbeinen
  • Trachea von der Mittellinie nach links versetzt
  • weichteildichtes Gewebe rechtsseitig der Trachea
  • sichtbare Drahtzerklagen in Profektion auf das Mediastinum
Diagnose:
  • Schilddrüsenvergrößerung

Beurteilung der knöchernen Strukturen

  • Betrachtung aus der Nähe
  • Umfahren der Umrisse der einzelnen Knochen (Rippen, Schulterblatt, Wirbelkörper), um Frakturen zu erkennen
  • Suche nach „dunklen Bereichen“ jedes Knochen und Vergleich Dichte von Knochen, die sich gleichen sein sollten
  • nicht das Erkennen einer Rippenfraktur ist wichtig, sondern deren mögliche Folgen wie Pneumothorax oder Hämatothorax
  • Rippenserienfraktur: >3 Rippen oder ≥2 benachbarte Rippen

Beurteilung der knöchernen Strukturen

männlich
  • Fall aus großer Höhe
  • stumpfes Trauma rechte Brustwand
Röntgenbefund:
  • multiple frische Frakturen der 4. rechten Rippe
  • frische Frakturen der 3., 5., 6. und 7. rechten Rippen
  • Zwerchfellhochstand rechts
  • vermehrte Dichte der rechten Lunge (v.a. Unterfeld)
  • kein Pneumothorax
Diagnose:
  • Rippenserienfraktur rechts
  • Lungenkontusion rechts

Beurteilung der knöchernen Strukturen

weiblich
  • Routineuntersuchung
Röntgenbefund:
  • Abwinkelung der Rippen mit mehreren Bruchstellen
  • an diesen Stellen erhöhte Dichte durch Kallusbildung
Diagnose:
  • alte Rippenfrakturen

Beurteilung der knöchernen Strukturen

männlich
  • bekanntes Prostatakarzinom
  • Husten
  • Fieber
Röntgenbefund:
  • liegender VVI-Herzschrittmacher
  • fleckig dichte Claviculae und humeri
  • basale Konsolidierung der Lungenfelder
  • abgerundeter Zwerchfellrippenwinkel rechts
  • keine pathologische Frakturen
Diagnose:
  • Pneumonie
  • Pleuraerguss rechts
  • Knochenmetastasen

Beurteilung der Weichteile

  • achte auf Vergrößerungen/ Erweiterungen von Weichteilen

Beurteilung der Weichteile

weiblich
  • anamnestisch Mammakarzinom
  • Z.n. Ablatio mammae links
Röntgenbefund:
  • erhöhte rechte Lungendichte?
  • erhöhte rechte Lungendichte?
Diagnose:
  • nicht ungleichmäßig verteiltes Weichteilgewebe mit einer Lungenerkrankung verwechseln!
  • Ablatio mammae links

Beurteilung der Weichteile

weiblich
  • Zervixkarzinom
Röntgenbefund:
  • multiple dichte Fleckschatten über beiden Lungenfeldern
Diagnose:
  • multiple Lungenmetastasen

Beurteilung der Weichteile

weiblich
  • anamnestisch Mammakarzinom
  • Z.n. Ablatio mammae rechts
Röntgenbefund:
  • Aufnahme etwas nach rechts verdreht
  • weichtteildichte Formationen in beiden Oberfeldern
Diagnose:
  • Lungenmetastasen des Mammakarzinoms

Beurteilung der Weichteile

männlich
  • arterielle Hypertonie
  • antihypertensive Therapie u.a. mit Spironolacton
Röntgenbefund:
  • dichtes Brustgewebe
Diagnose:
  • Gynäkomastie

Beurteilung der Weichteile

männlich
  • Verkehrsunfall
  • thorakale Schmerzen
  • Dyspnoe
  • klinisch Weichteilemphysem
Röntgenbefund:
  • Aufnahme verdreht
  • liegende Thoraxdrainage links
  • Zwerchfellhochstand links
  • Bereiche mit Dichteminderungen in den Weichteilen
  • Rippenfrakturen
Diagnose:
  • Rippenfrakturen
  • Zwerchfellverletzung links
  • Pneumothorax links (mit Thoraxdrainage versorgt)
  • kompliziertes Weichteilemphysem

Beurteilung der Weichteile

  • achte auf Luft unter dem Zwerchfell und erweiterte Darmschlingen

Beurteilung der Weichteile

männlich
  • Fieber
  • abdominale Schmerzen mit Abwehrspannung
Röntgenbefund:
  • Pneumoperitoneum
Diagnose:
  • Hohlorganperforation (Ulcus ventriculi)

Klinische Fälle

... und nun alles Zusammen

Klinische Fälle

männlich
  • Verkehrsunfall
  • bei Einlieferung im Krankenhaus nicht intubiert
  • nach Intubation keine Oxygenierung möglich
Röntgenbefund:
  • Tubus im Oesophagus!
  • ungenügende Inspirationslage
  • Hautfalte links, kein Pneumothorax
Diagnose:
  • Tubusfehllage!

Klinische Fälle

männlich
  • koronare Herzkrankheit
    • Herzinsuffizienz NYHA III
    • Z.n. Myokardinfarkt
    • Z.n. ACVP-Operation
    • instabile Angina pectoris
  • arterielle Hypertonie
  • Diabetes mellitus Typ 2
  • plötzliche Luftnot/ Orthopnoe
Röntgenbefund:
  • AP-Aufnahme
  • Aufnahme verdreht
  • Lungenmarkierungen nicht bis an die Thoraxwand sichtbar
  • ZVK nicht zentral liegend
Diagnose:
  • Pneumothorax beidseits!!

Quellen