Artefakte

die Feinde des Ultraschalls

Dr. med. Konstantin Schraepler, Bremen 09/2024

Artefakte in der Ultraschalldiagnostik


Abbildungen, die Strukturen

  • darstellen, die real nicht vorhanden sind
  • unvollständig darstellen
  • am falschen Ort darstellen
  • mit unkorrekter Echogenität darstellen
  • in unkorrekter Form und Grösse darstellen
Schumacher R et al. Springer 2003, ISBN 978-3-642-55665-4

Einteilung von Artefakten

  • durch das Ultraschallgerät selber bedingt
    • axiale Artefakte
      • einfache Reverberationen
      • komplexe Reverberationen (Comet-tail-Artefakte)
      • Spiegelungen
      • Schallverstärkung
      • Schallabschwächung/-auslöschung
    • laterale Artefakte
      • Brechungsartefakte(Refraktion)
      • Nebenkeulen-Artefakte
      • Auflösungs-Artefakte
  • extern bedingt
    • Fremdmaterialien (Katheter, Prothesen etc.)
Bertrand PB et al. (2016) J Am Soc Echocardiogr 29:381-391
Quien MM et Saric M (2018) Echocardiography 35:1388-1401
Schumacher R et al. Springer 2003, ISBN 978-3-642-55665-4
Tuma J et al. (2016) Z Gastroenterol 54:433-450

axiale Artefakte

einfache Reverberationen (Wiederholungsechos)

Reverberation

Echos aus der Gewebetiefe können zwischen Gewebe-Grenzflächen mehrfach hin und her reflektiert werden, bevor sie wieder auf den Schallkopf treffen. Dadurch kann die gleiche anatomische Struktur mehrfach zur Darstellung kommen.

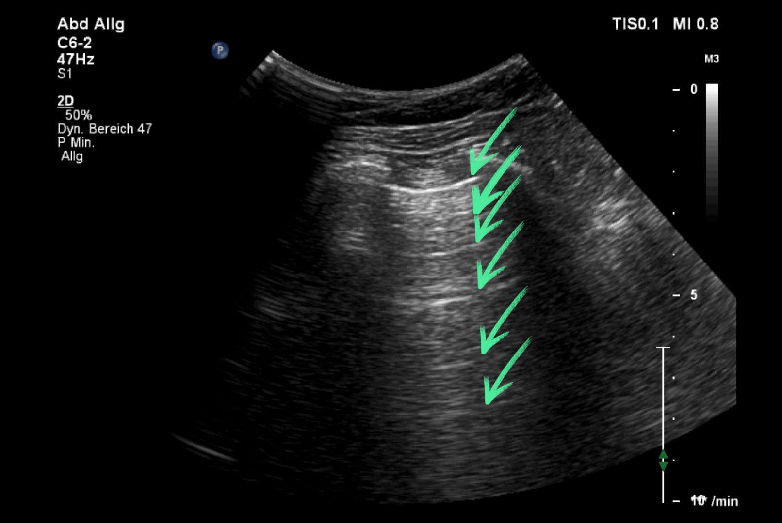
einfache Reverberationen (Wiederholungsechos)

Reverberation

Lungensonographie::

Die parallel zur Pleura parietalis verlaufenden, in regelmäßigen Abständen zur Pleuralinie auftretenden, echoreichen Linien sind verursacht durch Reverberationen der Pleura parietalis.

komplexe Reverberationen (Comet-tail-Artefakte)

Echokardiographie::

Comet-tail-Artefakte bei Pericarditis constrictiva. Sie werden auf gleiche Weise wie einfache Wiederholungsartefakte erzeugt, wobei mehrere sehr nah beieinander liegende Reflektoren vorhanden sind. Mit jedem weiteren Zyklus der Reflektion wird das künstliche Bild weiter hinter die ursprüngliche Struktur verschoben, so dass Kometenschweife entstehen.

Markierung

komplexe Reverberationen (Comet-tail-Artefakte)

Lungensonographie::

komplexe Reverberationen bei subpleuraler Fibrose als pulmonale Komplikation einer rheumatoiden Arthritis

Markierung

komplexe Reverberationen (Comet-tail-Artefakte)

Echokardiographie::

komplexe Reverberationen bei klappentragendem Aortenconduit bei Takayasu-Arteriitis

Markierung

Spiegelungen

Reverberation

Der Ultraschall wird im Einfallswinkel von einem Objekt reflektiert, trifft auf eine stark reflektierende Struktur, wandert zurück zum Ausgangsobjekt, bevor er zum Schallkopf zurückkehrt. Der Wandler erkennt nicht den indirekten Weg, den die Welle auf ihrem Rückweg genommen hat und geht davon aus, dass die längere Laufzeit bedeutet, dass sich die Zwischenstruktur unterhalb des Ausgangsobjekts befindet.

Schallverstärkung/ -abschwächung

Scahallabschwächung

Schall wird nicht von allen Geweben gleichmäßig abgeschwächt. Wenn ein Gewebe den Schall deutlich stärker oder schwächer dämpft als das umgebende Gewebe, wird die Stärke des Strahls distal diesen Gewebes entweder schwächer oder stärker sein als in den umgebenden Bereichen.

Schallabschwächung

Lungensonographie::

Hinter den Rippen besteht eine Schallauslöschung

Markierung

Schallverstärkung

Echokardiographie::

In der parasternalen kurzen Achse zeigt sich unterhalb des linken Ventrikels eine durch den Ventrikel bedingte Schallverstärkung.

Markierung

laterale Artefakte

Nebenkeulen-Artefakte

Brechungsartefakte Brechungsartefakte Brechungsartefakte Brechungsartefakte

Größte Teil der vom Ultraschall erzeugten Energie ist in der Mitte konzentriert. Geringere Mengen der emittierten Energie wird zu den Seiten gelenkt und bilden dort sog. Nebenkeulen. Deren Energie verteilen sich normalerweise im Gewebe, ohne auffällige Echos zu erzeugen. Durch sich im Strahlengang der Seitenkeulen befindliche starke Reflektoren (z. B. Prothesenmaterial), können deren Reflexionen als vom zentralen Strahl stammend interpretiert werden. Neben dem eigentlichen Bild entsteht ein lineares, bogenförmiges Artefakt.

Nebenkeulen-Artefakte

Echokardiographie::

Im Bereich der biologischen Aortenklappenprothese kommte es zum Auftreten von Nebenkeulen-Artefakten

Nebenkeulen-Artefakte

Echokardiographie::

Im Bereich des intraventrikulären Septums besteht ein Nebenkeulen-Artefakt und keine Perforation durch eine Schrittmachersonde

Auflösungsartefakte

Auflösungsartefakte

Das Ultraschallbündel ist nicht zweidimensional sondern besitzt eine gewisse Breite. Dadurch kommt es zu Summationseffekten mit Fehldarstellung von schmalen, senkrecht zur Schnittebene durch das Bild laufenden Strukturen. Diese werden dann relativ breit und nicht mit ihrer wahren Schichtdicke abgebildet.

Darstellung

Brechungsartefakte

Brechungsartefakte

Der Ultraschall trifft nicht auf direktem Weg auf die reflektierende Struktur sondern wird durch Gewebe anderer Schallgeschwindigkeit gebrochen. Für die Reflektion gilt gleiches. Dies kann zu einer Verdoppelung der Struktur führen (= Geisterbild welches neben dem echten Bild erscheint).

Spiegel-/Brechungs-/Wiederholungsartefkte

Echokardiographie::

In der parasternalen kurzen Achse zeigt sich unterhalb des linken Ventrikels schemenhaft eine Spiegelung des linken Ventrikels mit der sich bewegenden Mitralklappe.

Markierung

Spiegel-/Brechungs-/Wiederholungsartefkte

Echokardiographie::

In der psubcostalen Ansicht zeigt sich unterhalb des linken Ventrikels eine zusätzliche Darstellung des linken Ventrikels

Wann kommt es zum Auftreten von Artefakten?

  • schlechte Bildqualität
  • starke Reflektoren
    z. B. Verkalkung, Prothesenmaterial
  • gute Bildqualität
    z. B. Spiegelartefakte
  • häufiger bei Übersichtsaufnahmen

Tipps zur Vermeidung von Artefakten

  • kenne die Fallstricke
  • optimiere das Bild
  • kenne die Anatomie
  • kenne die Arten an Artefakten
  • Sei vorsichtig bei starken Reflektionen
  • verwende mehrere Ansichten

Fragen?