Stiff heart

Haemodynamik des Herzens in der Diastole

Dr. med. Konstantin Schraepler, Bremen 03/2023

...was bedeutet Herzinsuffizienz?

Herzinsuffizienz

  • Unvermögen des Herz den Organismus ausreichend mit Blut und Sauerstoff unter Ruhe-/ Belastungsbedingungen zu versorgen
  • durch strukturelle/ funktionelle Beeinträchtigung
    • des Blutauswurfs
    • der ventrikulären Füllung
    • z.B. Erkrankungen Myokard, Endokard, Herzklappen, Perikards
  • Symptomatik:
    • Dyspnoe
    • Müdigkeit
    • Einschränkung körperliche Belastbarkeit
    • Flüssigkeitsretention (Stauung und/oder Ödeme)
  •  2021 erste(!) einheitliche, international gültige Definition und Klassifizierung 
Chandramouli C et al.(2022) Clin Cardiol 45 Suppl 1:S2-S12
McDonagh TA et al. (2021) Eur Heart J 42:3599-3726
Yancy CW et al. (2013) J Am Coll Cardiol 62:e147-e239
Yancy CW et al. (2017) Circulation 136:e137-e161

Definition und Klassifizierung der Herzinsuffizienz

  • Symptome u./o. Anzeichen verursacht durch strukturelle/ funktionelle Herzanomalie,
    festgelegt als:
    • LV-EF <50%
    • abnorme Herzkammervergrößerung
    • E/e′ >15
    • mäßige/schwere ventrikuläre Wandverdickung
    • mäßige/schwere Klappenvitien
  • und mindestens eines der folgenden Anzeichen:
    • erhöhte natriuretische Peptidwerte
    • Nachweis kardiogene pulmonale/ systemische Stauung mittels Bildgebung
Bozkurt B et al. (2021) Eur J Heart Fail 23:352-380

...wie funktioniert das Herz?

Funktion des Herzens

hier fehlt das Ekg-Bild
  • elektrische Stimulation führt zur  Verkürzung  der Herzmuskelzellen
  • nach Beendigung Stimulation  Entspannung  der Herzmuskelzellen
hier fehlt das Ekg-Bild
  • Verkürzung der Herzmuskulatur: Kontraktion =  Systole 
  • Entspannung der Herzmuskulatur: Relaxation =  Diastole 
Silverthorn DU (2022) Adv Physiol Educ 46:714-723
Silverthorn DU. Human Physiology: an Integrated Approach. Boston, MA: Pearson Education, 2007–2020
Wiggers CJ. Physiology in Health and Disease (2nd ed.). Philadelphia, PA: Lea & Febiger, 1937

2 Phasen Herzaktion

  • der ventrikulären Systole ist die  atriale Systole  vorgelagert
hier fehlt Wiggers_Diagramm-Systole-Diastole Silverthorn DU (2022) Adv Physiol Educ 46:714-723
Silverthorn DU. Human Physiology: an Integrated Approach. Boston, MA: Pearson Education, 2007–2020
Wiggers CJ. Physiology in Health and Disease (2nd ed.). Philadelphia, PA: Lea & Febiger, 1937

  Vorhofkontraktion   (atriale Systole)

  • aktive linksventrikulären Füllung
    • trägt zu 20 bis 30 Prozent zum gesamten linksventrikulären Füllungsvolumen bei
  • erhöht normalerweise den diastolischen Druck hierdurch um weniger als 5 mmHg
Hier fehlt Wiggers Diagramm mit den atrialen Drücken Silverthorn DU (2022) Adv Physiol Educ 46:714-723
Silverthorn DU. Human Physiology: an Integrated Approach. Boston, MA: Pearson Education, 2007–2020
Wiggers CJ. Physiology in Health and Disease (2nd ed.). Philadelphia, PA: Lea & Febiger, 1937

die   ventrikuläre Systole   (kardialer Output)

  • durch die Kontraktion hervorgerufene Inwärtsbewegung der Herzmuskelwand steigt der Druck in der Herzkammer
  • wenn der Druck in den Herzkammern den Druck in der Aorta übersteigt, wird Blut ausgeworfen
hier fehlt Wiggers Diagramm-Drücke Silverthorn DU (2022) Adv Physiol Educ 46:714-723
Silverthorn DU. Human Physiology: an Integrated Approach. Boston, MA: Pearson Education, 2007–2020
Wiggers CJ. Physiology in Health and Disease (2nd ed.). Philadelphia, PA: Lea & Febiger, 1937

die   ventrikuläre Diastole   (kardialer Input)

  • entscheidend für die linksventrikuläre Füllung und damit der Herzfunktion
  • für die Füllung muss der LV-Druck kleiner als der LA-Druck sein
    • diastolischer LV-Druck wird bestimmt durch intraventrikuläres Blutvolumen, ventrikuläre Dehnbarkeit (Compliance) und durch den von Herzbeutel und rechter Herzkammer auf den linken Ventrikel ausgeübten externen Druck
Es fehlt Bild Wiggers Diagramm Diastole Silverthorn DU (2022) Adv Physiol Educ 46:714-723
Silverthorn DU. Human Physiology: an Integrated Approach. Boston, MA: Pearson Education, 2007–2020
Wiggers CJ. Physiology in Health and Disease (2nd ed.). Philadelphia, PA: Lea & Febiger, 1937

1. Phase Diastole:   isovolumetrische Relaxation  

  • Zeitraum zwischen Aortenklappenschluss und der Mitralklappenöffnung
  • Druck im linken Herzen nimmt bei gleichbleibendem Volumen ab
  • rascher Druckabfall
    • Aufdrehen (Untwist) und elastische Rückfederung (Recoil) des linken Ventrikels ➙ Saugeffekt ➙ Mitralklappenöffnung und Ventrikelfüllung führt
    Hier fehlt WiggersDiagramm_mit den diastolischen Phasen Silverthorn DU (2022) Adv Physiol Educ 46:714-723
    Silverthorn DU. Human Physiology: an Integrated Approach. Boston, MA: Pearson Education, 2007–2020
    Wiggers CJ. Physiology in Health and Disease (2nd ed.). Philadelphia, PA: Lea & Febiger, 1937

2. Phase Diastole:   auxotonische Relaxation  

  • Zeitraum zwischen Mitralklappenöffnung und atrialer Kontraktion
  • mit Mitralklappenöffnung füllt linker Ventrikel mit variablen Druck
  • in späterer Phase Entspannung sämtlicher Herzmuskelzellen
    • linke Ventrikel nun nachgiebig, leicht dehnbar und weist normalerweise nur minimalem Widerstand gegenüber Füllung auf
Hier fehlt WiggersDiagramm_mit den diastolischen Phasen Silverthorn DU (2022) Adv Physiol Educ 46:714-723
Silverthorn DU. Human Physiology: an Integrated Approach. Boston, MA: Pearson Education, 2007–2020
Wiggers CJ. Physiology in Health and Disease (2nd ed.). Philadelphia, PA: Lea & Febiger, 1937

Begriffserklärung

  • Vorlast (Volumen)
    • definiert als das maximale Volumen, mit dem das Herz am Ende der Diastole gefüllt ist
      (= enddiastolisches Volumen)
  • Nachlast (Druck)
    • definiert als der Druck, den der linke Ventrikel überwinden muss, um das Blut während der Systole in die Aorta auszuwerfen
  • Ejektionsfraktion
    • prozentuelle Anteil des enddiastolisches Volumen, der in die Aorta ausgeworfen wird
Silverthorn DU (2022) Adv Physiol Educ 46:714-723
Oberman R, Bhardwaj A. Physiology, Cardiac. [Updated 2022 Jun 28]. In: StatPearls

... von hier ausgehend

Unterteilung Herzinsuffizienz

  • systolische
    • Auswurf von Blut vermindert
    • anhand eingeschränkter Ejektionsfraktion erkennbar
  • diastolische
    • Füllung mit Blut während Diastole beeinträchtigt
    • anhand Ejektionsfraktion (LVEF ≥50 %) nicht erkennbar
Folse R et Braunwald E (1962) Circulation 25:674-685
Kitzman DW et al. (1991) J Am Coll Cardiol 17:1065-1072
Maurer MS et al. (2005) J Card Fail 11:177-187

Unterteilung Herzinsuffizienz

  • LV-EF ≤40%

      Herzversagen mit eingeschränkter Ejektionsfraktion  
        Heart Failure with reduced Ejection Fraction, HFrEF
  • LV-EF ≥50%:

      Herzversagen mit erhaltener Ejektionsfraktion  
        Heart Failure with preserved Ejection Fraction, HFpEF
  • LV-EF ≥40-50%:

      Herzversagen mit leicht eingeschränkter Ejektionsfraktion  
        Heart Failure with mild reduced Ejection Fraction, HFmrEF
  • Folse R et Braunwald E (1962) Circulation 25:674-685
    Kitzman DW et al. (1991) J Am Coll Cardiol 17:1065-1072
    Maurer MS et al. (2005) J Card Fail 11:177-187

echokardiographisches Bild

LV-EF

20%

60%

NYHA-Klasse

III

III

HFrEF

HFpEF

5J-Statistik: Krankenhauseinweisung Herzinsuffizienz (n = 39.982)

Anteil (n= 39 982)

46,0%

46,0%

Wiedereinwesung

82,2%

84,0%

Mortalität

75,3%

75,7%

Shah KS et al.(2017) J Am Coll Cardiol 70:2476-2486
Dunlay SM, Roger VL, Redfield MM (2017) Nat Rev Cardiol 14:591-602
Steinberg BA et Fang JC (2017) J Am Coll Cardiol 70:2487-2489

... die Pathophysiologie?

Diastolische Dysfunktion durch Störung

  • Entspannungsfähigkeit des Herzmuskels (Relaxation)
  • frühen diastolischen linksventrikulären Rückstoß (Recoil)
  • Kammersteifigkeit (Stiffness)
Nagueh SF (2020) JACC Cardiovasc Imaging 13:228-244

Störungen der Diastole

Pfeffer MA et al. (2019) Circ Res 124:1598-1617
Borlaug BA (2014) Nat Rev Cardiol 507-515
Obokata M et al. (2018) Eur Heart J 39:2810-2821
Reddy YNV et Borlaug BA (2021) Clin Chest Med 42:39-58
Reddy YNV et al. (2019) Eur Heart J 40:3721-3730
Omote K et al. (2022) Annu Rev Med 73:321-337
Olson TP et al. (2016) JACC Heart Fail 4:490-498

... alles geklärt?

Begriffsdefinitionen

  • abnorme mechanische Eigenschaften in der Diastole
    = diastolische Dysfunktion
  • symptomatische diastolische Dysfunktion
    = diastolische Herzinsuffizienz
  • dann sollte diastolische Herzinsuffizienz einer HFpEF entsprechen
    diastolische HerzinsuffizienzHFpEF
Nagueh SF (2020) JACC Cardiovasc Imaging 13:228-244
Zile MR et al. (2005) Prog Cardiovasc Dis 47:307-313

... warum?

es bestehen weitere beitragende Faktoren

  • Einschränkungen der
    • systolischen linksventrikulären und linksatrialen Funktion
    • systemischen und pulmonalen Gefäßfunktion
    • Stickoxid-Bioverfügbarkeit
    • chronotropen Reserve
    • Funktion des rechten Herzens
    • des autonomen Tonus
    • Einfluss des Perikards auf die LV-Füllung
    • Wechselwirkungen zwischen rechtem und linkem Ventrikel
    • systolische und diastolische linksventrikuläre Dyssynchronie
    • koronare Blutfluss und Gewebeperfusion
    • sonstige periphere Beeinträchtigungen
  • häufig Zusammenspiel mehrerer Mechanismen
    • wobei Ausmaß der einzelnen beeinträchtigenden Komponenten sehr unterschiedlich sein
Zile MR (2003) J Am Coll Cardiol 41:1519-1522
Abbasi MA et Borlaug BA (2023) Eur J Heart Fail Online ahead of print
Borlaug BA (2014) Nat Rev Cardiol 11:507-515

... erklärt das nun alles?

ein paar Fakten...

  • Mortalität steigt auch bei Abweichungen der LV-EF >60% an (n = 203 135)
    •  unabhängig von Alter, Geschlecht oder anderen relevanten Begleiterkrankungen 
    • = Herzinsuffizienz mit supranormaler Ejektionsfraktion, HfsnEF
  • bestimmte Therapieprinzipien wirken nur innerhalb eines bestimmten Ejektionsfraktionsbereichs
    • Empagliflozin-Wirkung konsistent in der Wirkung bei EF <65%, oberhalb jedoch abgeschwächt
      Sacubitril/Valsartan-Wirkung EF-abhängig, jedoch bei Frauen zusätzlich bei höherer EF

liefert Hinweise auf:

  • HFpEF nicht gleich HFpEF
  • Variationen der Pathophysiologie von Herzinsuffizienz bei >50%?
  • unterschiedliche Phänotypen der HFpEF?
Wehner GJ et al. (2020) Eur Heart J 41:1249-1257
Butler J et al. (2022) Eur Heart J 43:416-426
Solomon SD et al. (2020) Circulation 141:352-361

... weitere Fakten

Herzinsuffizienzen mit LVEF >60% besitzen im Gegensatz zu solchen von 50-60%

  • kleineres endsystolisches und enddiastolisches linksventrikuläres Volumen (ESV, EDV)
  • höheren enddiastolischen LV-Druck
    • steilere, nach links verschobene endsystolische und enddiastolische Druck-Volumen-Beziehung (EDPVR)
Hier fehlt Diagramm der Druck-Volumen-Beziehung
  • reagiert empfindlicher auf Verringerung der Vorlast
    • mit stärkerer Verringerung von Blutdruck und Schlagvolumen
Brener MI et al. (2022) Circulation 146:519-522
Borlaug BA et al. (2011) Heart 97:964-969
Kaye DM et al. (2021) J Am Heart Assoc 10:e021584
Rosch S et al. (2022) Circulation 146:506-518

... worauf deutet das?

Aufbau des Herzens, revisited

erneute Betrachtung

  • Vorstellung über Herzfunktion basiert im klinischen Alltag weitgehend auf Mechanik, die sich an Aufteilung in linke/ rechte Herzkammer, Herzscheidewand orientiert
  • Sichtweise beruht auf William Harveys Werk „De Motu Cordis“
    • Herzmuskel in Form eines Herzmuskelbandes angeordnet, Herzwände einheitlich durch laminare Bahnen aus faserigem Gewebe vom Epikard zum Endokard gebündelt, erstmals 1628 veröffentlicht
    • von anatomischer Realität weit entfernt
    • ignoriert wichtige frühere Erkenntnisse der letzten 400 Jahre
Hier fehlt das Bild des Buchtitels Generatione animalium von 1628 Hier fehlt das Bild des Buchtitels Generatione animalium Hier fehlt das Bild des Buchtitels Exercitatio Anatomica Mori S et al. (2016) Circ J 80:24-33
Harvey W (1628)
Harvey W (1737)

Fakten

  • ein Herzmuskelzelle verkürzt sich bei Stimulation um  15% 
  • zirkulär/ konstriktorische Fasern reichen für benötigten kardialen Auswurf nicht aus
  • ein gesunder Herzmuskel verkürzt sich im Speckle tracking um  >18%  um die notwendige Auswurfraktion zu erzielen
Sallin EA (1969) Biophys J 9:954-964

der reale Aufbau des Herzens

Torrent Guasp F bei der Sektion des Herzens
Buckberg GD et al. (2018) 5:33

der reale Aufbau des Herzens

hier fehlt das Bild des helikalen Aufbau des Herz
  • wickel- und schraubenförmige architektonische Herzaufbau
    • lässt ein an Herzkammern orientiertes Herzmodell sehr fraglich erscheinen
  • nur durch Kenntnis der Architektur Verständnis der Herzfunktion
    • ansonsten Fehlverständnisse und Fehleinschätzungen
  • durch helikalen Aufbau bedingtes Twisting des Myokards
Buckberg G et al. (2011) Echocardiography 28:782-804
Buckberg GD et al. (2015) Eur J Cardiothorac Surg 47:587-601
Buckberg GD et al. J Cardiovasc Dev Dis 5:33
Rosch S et al. (2022) Circulation 146:506-518

Twisting-Modell nach Mall FP (1911)

hier fehlt das Bild des Twisting-Modell nach Mall
  • durch Verdrehen der Apex Imitierung der Verdrehung der inneren Muskelbündel wodurch das Blut aus dem Herzen "gewrungen" wird
Mall FP (1911) Am J Anat 11:211–278

Twisting im Speckle tracking

  • ventrikuläres Twisting lässt sich echokardiographisch in der
    kurzen parasternalen Achse darstellen
Buckberg GD et al. (2018) J Cardiovasc Dev Dis 5:33

aktuelle physiologische Herzmodelle

  • Modell des spiralförmigen ventrikulären Myokardbandes (HVMB)
    • Torrent-Guasp F, 1966
    • aktive Muskelkontraktion in der frühen ventrikulären Diastole
      • späte aktiven Muskelkontraktion des aufsteigenden Herzmuskelband-Segments am Ende der klassischen Systole und frühen Diastole mit mit Anhebung Ventrikelbasis, Verlängerung ventrikuläre Längsachse und hierdurch bedingtem Vakkumeffekt
  • diffuse, verschachtelte Myokard-Schichtmodelle (Nested layer Modelle)
    • Krehl L, 1891
    • linke Ventrikelwand und Septum besteht aus konzentrisch miteinander verbundenen Muskelschichten, die in einem unterschiedlichen Schrägungswinkel zueinander stehen
    • komplexe Interaktionen
      • trotz der Aktivierung kann sich Herzmuskelzelle verlängern (nicht verkürzen), wenn äußere Kraft der Verkürzung entgegenwirkt, gleiche gilt bei Inaktivierung mit ausbleibender Verlängerung
      l
    Streeter DD et al. MIT Press, Cambridge 1978: 73
    Torrent-Guasp F et al. (2004) Eur J Cardiothorac Surg 25:376-386
    Krehl L (1891) Abh Math Phys 29, 341–362
    Streeter DD et Hanna WT (1973) Circ Res 33:639-655
    Bayer JD et al. (2012) Ann Biomed Eng 40:2243-2254

modernste Bildgebung (experimentell)

hier fehlt das Bild des helikalen Aufbau des Herz
  • 3D-Analyse Myokardarchitektur im Diffusions-Tensor-MRT
    • Nachweis einer spiralförmigen Myokardfaseranordnung
    • Farbschema stellt die Faserorientierungen dar
Poveda F et al. (2013) Rev Esp Cardiol (Engl Ed) 66:782-790

... trotz aller Fortschritte

  • genaue Beziehung zwischen ventrikulärer Anatomie und Funktion auch heute noch nicht in allen Einzelheiten geklärt
  • Auffassung das effiziente Ventrikelfüllung durch starken Sog passiv durch elastischen Rückstoß (Recoil) erfolgt umstritten
  • häufende Hinweise, dass durch segmentale elektrische und mechanische Aktivierung Ventrikelfüllung Folge  aktiver Myokardkontraktion  ist
Hoffman JIE (2017) Physiol Rep 5:e13404

HFpEF = komplexes Krankheitsbild

  • umfasst breites Spektrum unterschiedlicher Ätiologien
  • Ausmaß wird durch Störung der Feinstruktur des Herzens erklärt
Buckberg Get al. (2008) Circulation 118:2571-2587

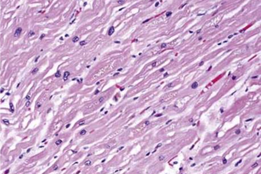
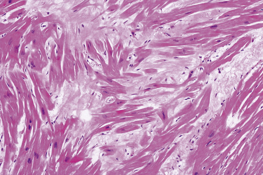
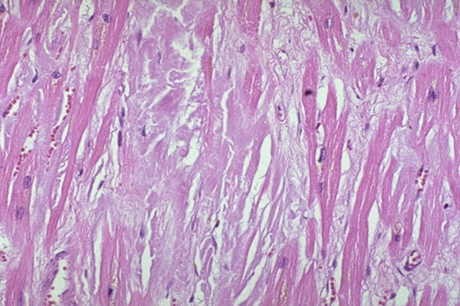
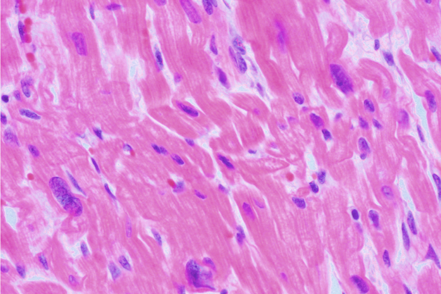
histologische Bilder

adultes Myokard adultes Myokard
hypertensive Herzkrankheit hypertensive Herzkrankheit
hypertrophe Kardiomyopathie hypertrophe Kardiomyopathie
kardiale Amyloidose kardiale Amyloidose
kardiale Hämochromatose kardiale Hämochromatose
Glykogen-Speicherkrankheit Glykogen-Speicherkrankheit

Pathology Residency and Fellowship Program, Brown University, Access 23. October 2022
Elliott P, McKenna WJ (2004) Lancet 363:1881-1891
Internet Pathology Laboratory , University of Utah, Access 23. October 2022
Thoracic Pathology, Cardiac Hemochromatosis, Access 23.October 2022

in der Echokardiographie bedenken

"Standard"-Echokardiographie bietet nur unzureichende Beachtung

  • der linksventikulären Architektur
    • kompliziert spiralförmig in Muskelbändern angeordnete Muskelfasern, die am Apex eine Achterschleife bilden
  • des für die Herzfunktion wesentlichen Twistings
    • wird durch die achtförmig im Uhrzeigersinn und spiralförmig gegen den Uhrzeigersinn angeordnete Muskelfasern verursacht
  • der zeitlichen und räumlichen Ablauf der Kontraktion
    • das Myokard kontrahiert/ relaxiert nicht gleichzeitig homogen alle Fasern
Badano LP et Muraru D (2019) TCirc Cardiovasc Imaging 12:e009085
Geerts L et al. (2002) Am J Physiol Heart Circ Physiol 83:H139-145
Thomas JD et Popović ZB (2006) J Am Coll Cardiol 48:2012-2025
Hoffman JIE (2017) Physiol Rep 5:e13404

Möglichkeit neuer echokardiographischer Verfahren

LA-Strain

  • bewertet nicht Einschränkung der kardialen Funktion
  • bewertet Auswirkung der eingeschränkten kardialen Funktion
Carpenito M et al. (2021) Front Cardiovasc Med 8:704762
Bandera F et al. (2021) Front Cardiovasc Med 8:750139
Gan GCH et al. (2018) Cardiovasc Diagn Ther 8:29-46
Hoit BD (2018) Curr Cardiol Rep 20:96

Speckle tracking: LA-Strain

Resevoirfunktion des linksatrialen Strains weist im Gegensatz zu E/e' eine enge Korrelation mit den linksventrikulären Füllungsdrücken auf und kann im Gegensatz zum LAVI den aktuellen linksatrialen Druck widerspiegeln

Pfeil_rechts Cameli M et al. (2016) Echocardiography 33:398-405

was nehme ich mit?

  • Stiff heart - leider nur ein schönes Schlagwort
    • lediglich Teilaspekt der HFpEF, erklärt sie nicht
  • bis heute verstehen wir noch nicht in Einzelheiten wie das Herz arbeitet
  • können uns in der Echokardiographie nicht auf traditionelle Parameter verlassen
    • weitere Entwicklungen und Etablierung im klinischen Alltag sind notwendig
  • Biomarker wie das BNP/ NT pro-BNP mit in die Diagnostik einbeziehen
  • klinische Symptomatik immer berücksichtigen
Badano LP et Muraru D (2019) TCirc Cardiovasc Imaging 12:e009085
Geerts L et al. (2002) Am J Physiol Heart Circ Physiol 83:H139-145
Thomas JD et Popović ZB (2006) J Am Coll Cardiol 48:2012-2025
Hoffman JIE (2017) Physiol Rep 5:e13404